2008, 2020
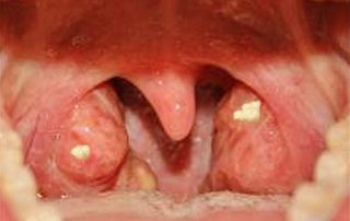
سنگ لوزه
سنگ لوزه Tonsillolith [...]
1008, 2020
بیماری منیر
بیماری منیر Menier disease [...]
308, 2020
بیماری حرکت
بیماری حرکت Motion sickness [...]
2607, 2020
زبان پرزدار سیاه
زبان پرزدار سیاه Black hairy tongue [...]
2406, 2020
مراقبت های بعد از عمل جراحی بینی
مراقبت های بعد از عمل جراحی بینی [...]
2006, 2020
اختلال عملکرد شیپور استاش در گوش
اختلال عملکرد شیپور استاش در گوش Eustachian [...]





