305, 2020
?آبسه لوزه ها
آبسه لوزه ها Peritonsillar Abscess [...]
2804, 2020
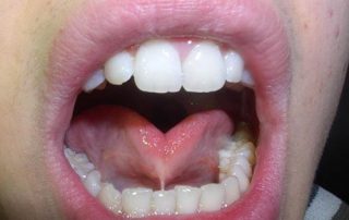
زبان جغرافیایی
زبان جغرافیایی Geographic Tongue [...]
2604, 2020
چسبندگی زبان به کف دهان
چسبندگی زبان به کف دهان Ankyloglossia [...]
2004, 2020
گوش درد
گوش درد Otalgia [...]
1704, 2020
لارنگوتراکئوبرونشیت حاد (خروسک )
لارنگوتراکئوبرونشیت حاد (خروسک ) croup [...]
1404, 2020
اجسام خارجی
اجسام خارجی Foreign Bodies [...]





